Sức khỏe- Thể thao
Á quân U20 châu Á thảm bại ở World Cup
Rạng sáng 23/5, đội U20 mạnh thứ hai châu Á, Iraq, nhận thất bại 0-4 trước Uruguay tại lượt trận mở màn bảng E U20 World Cup 2023.
Newcastle trở lại Champions League sau 20 năm
Rạng sáng 23/5, thầy trò HLV Eddie Howe hòa Leicester 0-0, qua đó chắc chắn kết thúc mùa giải trong top 4 Premier League.
Vì sao rớt hạng chưa phải thảm họa với Leicester?
Chỉ có được 1 điểm trước Newcastle ở vòng 37 Premier League rạng sáng 23/5 (giờ Hà Nội), cánh cửa rớt hạng dần hiện ra với Leicester City. Thế nhưng, đó chưa phải điều tồi tệ nhất.
Mourinho nổi giận khi Juventus bị trừ 10 điểm
HLV Jose Mourinho không hài lòng khi chứng kiến Juventus được Liên đoàn Bóng đá Italy (FIGC) trả lại điểm số nhưng sau đó tiếp tục bị trừ điểm vì dính đến nhiều sai phạm.
Runner Việt Nam vô địch giải marathon tại Malaysia
Hai chân chạy quen mặt trong cộng đồng chạy bộ Việt Nam, Tiểu Đường và Lê Văn Tuấn thắng lớn tại giải Borneo Marathon tại Malaysia.
Án phạt cho U22 Thái Lan sau vụ ẩu đả ở chung kết SEA Games
Trưa 23/5 (giờ Hà Nội), Liên đoàn Bóng đá Thái Lan (FAT) ra án phạt chính thức cho các thành viên ban huấn luyện và cầu thủ liên quan tới vụ ẩu đả ở chung kết SEA Games 32.
Tuyển nữ Việt Nam được thưởng gần 6 tỷ đồng sau SEA Games
Chiều 23/5, thầy trò HLV Mai Đức Chung nhận thêm 2 tỷ đồng tiền thưởng sau khi giành HCV SEA Games 32.
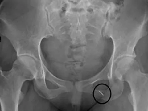
Thủ kim phòng "thượng mã phong" đêm tân hôn, cô gái bị kim chui vào người
() - Cô gái 23 tuổi ở Hưng Yên được đưa đến viện trong tình trạng đau buốt khi vận động mạnh, nghi kim khâu chui vào người. Ở bệnh viện tuyến dưới, bác sĩ đã chích da nhưng không tìm thấy dị vật.
Không loại trừ có ca ngộ độc botulinum mới, khẩn xin nhập thuốc 8.000 USD
() - Đại diện Bệnh viện Chợ Rẫy chia sẻ, không thể loại trừ việc tới đây sẽ phát sinh thêm các ca ngộ độc botulinum mới. Thuốc giải độc quý hiếm như BAT cần được dự trữ với tính chất dự phòng quốc gia.
Newcastle phá vỡ trật tự Premier League
Sự trỗi dậy của Newcastle United sẽ khiến các đội bóng lớn khác như Chelsea, Liverpool hay Tottenham cảm thấy lo lắng cho vị thế tại xứ sương mù.
Haaland mặc đồ ngủ đi dự tiệc mừng vô địch Premier League
Tiền đạo người Na Uy cùng đồng đội tổ chức tiệc ăn mừng linh đình sau khi giành chức vô địch Ngoại hạng Anh 2022/23.
Hy hữu: Bị thang máy rơi trúng đầu, người phụ nữ nguy kịch
() - Trong lúc bệnh nhân nhìn vào trong buồng thang máy để xem tình hình sửa chữa thì bỗng thang rơi xuống trúng đầu.
Bác sĩ bất ngờ khi cụ ông 71 tuổi ôm "của quý" lên trạm nhờ giúp đỡ
() - Phát hiện đỉa chui vào dương vật, không thể lấy ra, cụ ông 71 tuổi phải đến trạm y tế nhờ can thiệp.
Messi và dàn sao làm nên tên tuổi ở U20 World Cup
Lionel Messi, Erling Haaland hay Paul Pogba là những cầu thủ gây ấn tượng khi tham dự U20 World Cup trong quá khứ.